درباره نویسنده
مایکوپلاسما پنومونی در امتحان بورد اطفال
پنومونی و سایر تظاهرات مایکو پلاسما در کودکان از سوالات رایج امتحان بورد تخصصی است
مایکوپلاسما پنومونی Mycoplasma pneumoniae
در میان تعداد محدودی از گونههای مایکوپلاسما که از دستگاه تنفسی انسان جدا شدهاند، Mycoplasma pneumoniae شایعترین عامل عفونتهای تنفسی در کودکان سن مدرسه و جوانان محسوب میشود و با طیف متنوعی از تظاهرات بالینی همراه است.
ارگانیسم (THE ORGANISM)
مایکوپلاسماها کوچکترین پروکاریوتهای خودتکثیرشوندهای هستند که میتوانند در انسان ایجاد بیماری کنند. اندازه آنها حدود ۱۵۰ تا ۲۵۰ نانومتر است که از نظر ابعاد، بیشتر به ویروسها شباهت دارد تا باکتریها.
Mycoplasma pneumoniae یک باکتری DNA دو رشتهای سختگیر (fastidious) است که با ژنوم بسیار کوچک (حدود ۸۰۰ هزار جفتباز) و زمان دو برابر شدن طولانی شناخته میشود؛ به همین دلیل، کشت آن فرایندی کند بوده و معمولاً ۵ تا ۲۰ روز طول میکشد که در مقایسه با سایر باکتریها زمانبرتر است.
ایزولههای M. pneumoniae بر اساس پروتئین چسبندگی P1 به دو گروه ژنتیکی اصلی (زیرگونههای ۱ و ۲) تقسیم میشوند. تفکیک این دو زیرگونه از نظر اپیدمیولوژیک اهمیت دارد.
مانند سایر مایکوپلاسماها، M. pneumoniae فاقد دیواره سلولی است که این ویژگی پیامدهای مهمی دارد:
وابستگی به سلول میزبان برای تأمین مواد غذایی ضروری
مقاومت ذاتی به آنتیبیوتیکهای بتالاکتام
شکل پلیمورفیک و عدم مشاهده در رنگآمیزی گرم
نکته بوردی بسیار مهم: عدم وجود دیواره سلولی ⇒ پنیسیلین و سفالوسپورین مؤثر نیستند.
اپیدمیولوژی (EPIDEMIOLOGY)
عفونتهای ناشی از M. pneumoniae در سراسر جهان و در تمام طول سال رخ میدهند. این ارگانیسم یکی از علل شایع پنومونی اکتسابی از جامعه (CAP) در کودکان بالای ۵ سال و بالغیناست و حدود:
۲۰٪ از CAP در دانشآموزان دوره متوسطه
تا ۵۰٪ از CAP در دانشجویان و سربازان وظیفه
را شامل میشود.
با افزایش سن، شیوع عفونت افزایش مییابد. یک مطالعه بزرگ جمعیتمحور در ایالات متحده نشان داده است:
۳٪ در کودکان زیر ۵ سال
۱۷٪ در گروه سنی ۵ تا ۹ سال
۲۴٪ در گروه سنی ۱۰ تا ۱۷ سال
برخلاف برخی ویروسهای تنفسی که اپیدمیهای حاد و کوتاهمدت ایجاد میکنند، عفونت با M. pneumoniae بهصورت اندِمیک در سراسر جهان وجود دارد. طغیانهای اپیدمیک با شدت متغیر هر چند سال یکبار رخ میدهند و احتمالاً با چرخش متناوب دو زیرگونه ژنتیکی این باکتری مرتبط هستند.
انتقال از طریق راه تنفسی و قطرات درشت و در تماس نزدیک با فرد علامتدار صورت میگیرد. طغیانهای اجتماعی در محیطهای بسته مانند دانشگاهها، مدارس شبانهروزی و پادگانهای نظامی گزارش شدهاند و اغلب از طریق تماسهای مدرسهای گسترش مییابند.
نرخ حمله خانوادگی بالا است:
۴۰٪ در بزرگسالان خانواده
۸۰٪ در کودکان خانواده
برخلاف بسیاری از عفونتهای تنفسی دیگر، دوره کمون طولانی (۲ تا ۳ هفته)است؛ بنابراین سیر بیماری در یک خانواده یا جمعیت خاص میتواند چندین هفته ادامه یابد.
بروز بیماریهای مایکوپلاسمایی تا حدی به سن و ایمنی قبلی بستگی دارد. بیماری آشکار پیش از ۳ سالگی کمتر شایع است، هرچند ممکن است رخ دهد. کودکان زیر ۵ سال معمولاً دچار بیماری خفیفتر میشوند که بیشتر با درگیری دستگاه تنفسی فوقانی، استفراغ و اسهال همراه است.
ایمنی پس از عفونت پایدار نیست و این موضوع با شیوع بالای عفونتهای مجدد در طول زمان مشخص میشود.
نکات طلایی بورد اطفال
شایعترین عامل پنومونی آتیپیک در کودکان سن مدرسه
فاقد دیواره سلولی ⇒ عدم پاسخ به بتالاکتامها
دوره کمون طولانی (۲–۳ هفته)
طغیان در محیطهای بسته
بیماری در زیر ۵ سال معمولاً خفیفتر
پاورقی (واژهنامه اصطلاحات مهم)
Prokaryote (پروکاریوت): سلول فاقد هسته و اندامکهای غشادار
Fastidious: ارگانیسمی که شرایط خاص و دشوار برای رشد نیاز دارد
P1 adhesion protein: پروتئین چسبندگی اصلی مایکوپلاسما به سلولهای اپیتلیال تنفسی
Pleomorphic: دارای اشکال متغیر
CAP (Community-Acquired Pneumonia): پنومونی اکتسابی از جامعه
Endemic: وجود پایدار بیماری در یک منطقه
Incubation period: فاصله ورود عامل بیماریزا تا بروز علائم
Mycoplasma pneumoniae – High-Yield Board Review
اپیدمیولوژی
شایعترین علت پنومونی آتیپیک در کودکان سن مدرسه و جوانان
CAP:
~۲۰٪ در دانشآموزان راهنمایی/دبیرستان
تا ۵۰٪ در دانشجویان و سربازان
شیوع با سن ↑
<5 سال: ~۳٪
5–9 سال: ~۱۷٪
10–17 سال: ~۲۴٪
اندِمیک با اپیدمیهای دورهای هر چند سال
انتقال: قطرات تنفسی در تماس نزدیک
طغیان در محیطهای بسته (مدارس، پادگانها، خوابگاهها)
دوره کمون طولانی: ۲–۳ هفته
Attack rate خانوادگی بالا: کودکان تا ۸۰٪
ویژگیهای میکروبی (Organism)
کوچکترین پروکاریوت خودتکثیرشونده
اندازه: ۱۵۰–۲۵۰ نانومتر
DNA دو رشتهای
ژنوم کوچک (~۸۰۰ kb)
کشت کند: ۵–۲۰ روز
فاقد دیواره سلولی ⟵ نکته بسیار مهم
دارای پروتئین چسبندگی P1
دو سابتایپ ژنتیکی (۱ و ۲) ⟵ اهمیت اپیدمیولوژیک
در رنگآمیزی گرم دیده نمیشود
شکل Pleomorphic
پیامدهای عدم وجود دیواره سلولی (نکته طلایی)
مقاوم به بتالاکتامها (پنیسیلین، سفالوسپورین)
✔ درمان با:
ماکرولیدها (انتخاب اول در کودکان)
تتراسیکلینها (در سنین بالاتر)
فلوروکینولونها (در موارد خاص)
تظاهرات بالینی (Board Focus)
کودکان >5 سال:
پنومونی آتیپیک، سرفه خشک، تب خفیف تا متوسط
کودکان <5 سال:
بیماری خفیفتر
بیشتر URI، استفراغ، اسهال
ایمنی پایدار نیست ⟵ عفونت مجدد شایع
Pearls امتحانی
پنومونی با سیر آهسته + کمون طولانی → به Mycoplasma فکر کن
CAP که به بتالاکتام جواب نمیدهد → Mycoplasma
شیوع بالا در مدرسه/خوابگاه → Mycoplasma
Gram stain منفی ولی باکتری → فاقد دیواره سلولی
واژههای کلیدی برای حفظ
Atypical pneumonia
No cell wall
β-lactam resistance
P1 adhesion protein
Long incubation (2–3 weeks)
تهاجم مستقیم (Invasion) در برابر مکانیسمهای ایمنیواسطه (Immune-mediated)
تظاهرات بالینی Mycoplasma pneumoniae میتواند ناشی از:
تهاجم مستقیم ارگانیسم به بافتها (بهویژه دستگاه تنفسی)، یا
پاسخهای ایمنی میزبان باشد که منجر به علائم خارجریوی میشوند.
این تمایز در تفسیر علائم، عوارض و تصمیمگیری درمانی اهمیت دارد.
تظاهرات بالینی (CLINICAL MANIFESTATIONS)
M. pneumoniae یکی از علل شایع عفونتهای دستگاه تنفسی فوقانی و تحتانی در کودکان و نوجوانان است.
تظاهرات بالینی به دو گروه تقسیم میشود:
تنفسی (شایعتر)
خارجریوی (کمتر شایع)
بیماریهای دستگاه تنفسی (Respiratory Tract Disease)
1. سندرمهای شایع
تراکئوبرونشیت
پنومونی آتیپیک
⟵ مسئول تا ۲۰٪ موارد پنومونی اکتسابی از جامعه (CAP)
2. سیر بالینی پنومونی Mycoplasma
شروع تدریجی (نکته کلیدی بورد):
سردرد
بیحالی (malaise)
تب
گلودرد
سپس علائم تنفسی تحتانی:
گرفتگی صدا (hoarseness)
سرفه خشک و غیرخلطی
این شروع تدریجی برخلاف پنومونی لوبار با شروع ناگهانی است.
3. علائم کمتر شایع
Coryza (آبریزش بینی) و علائم گوارشی:
معمولاً وجود ندارند
اگر باشند ← بیشتر به نفع اتیولوژی ویروسی
حدود ۱۰٪ کودکان:
راش ماکولوپاپولر پوستی
4. سیر بیماری
سیر بالینی در بیماران درماننشده متغیر است
سرفه (علامت شاخص):
معمولاً در هفته اول بدتر میشود
اغلب علائم طی ۲ هفته برطرف میشوند
اما سرفه میتواند تا ۴ هفته باقی بماند
ممکن است با ویزینگ همراه باشد
5. معاینه فیزیکی (نکته امتحانی مهم)
معاینه قفسه سینه ممکن است:
کاملاً طبیعی باشد
یا فقط rale خشک خفیف شنیده شود
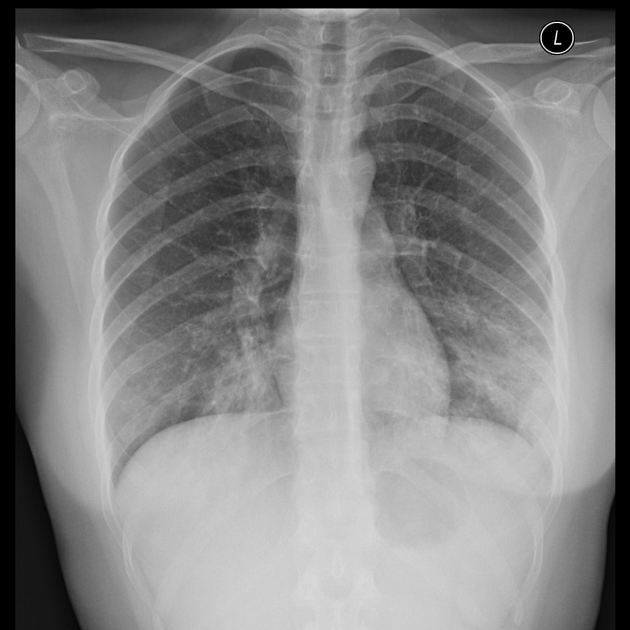
یافتههای بالینی اغلب خفیفتر از یافتههای رادیولوژیک هستند
⟵ دلیل اصطلاح «Walking Pneumonia»
6. یافتههای رادیولوژیک
غیراختصاصی
قابل افتراق از پنومونی ویروسی یا باکتریال نیست
الگوهای ممکن:
اینفیلتراسیون منتشر دوطرفه
پنومونی لوبار
لنفادنوپاتی هیلار (تا ۳۰٪)
موارد نادر ولی مهم:
افیوژن پلورال بزرگ
پنومونی نکروزان
⟵ بیشتر در:نقص ایمنی
سندرم داون
بیماریهای مزمن قلبیریوی
کمخونی داسیشکل
7. آزمایشهای آزمایشگاهی
WBC و دیفرانسیل: معمولاً طبیعی
ESR و CRP: اغلب افزایشیافته
8. پاسخ به درمان
آنتیبیوتیک مناسب:
مدت بیماری را کوتاه میکند
اما ارگانیسم را بهطور قابل اعتماد از راه هوایی ریشهکن نمیکند
سایر تظاهرات تنفسی مرتبط با Mycoplasma
عفونتهای URTI غیرقابل تفکیک
سرفه خشک و مقاوم
فارنژیت (معمولاً بدون لنفادنوپاتی گردنی واضح)
سینوزیت
کروپ
برونشیولیت
ارتباط با آسم (نکته مهم)
تریگر شایع ویزینگ در کودکان آسمی
امکان کلونیزاسیون مزمن راه هوایی
میتواند باعث اختلال عملکرد ریوی مزمن در نوجوانان و بزرگسالان آسمی شود
گوش میانی
اوتیت مدیا و Bullous myringitis
نادر
عدم وجود آنها تشخیص Mycoplasma را رد نمیکند
نکات طلایی بورد اطفال (Board Pearls)
شروع تدریجی + سرفه خشک ← Mycoplasma
معاینه طبیعی ولی CXR غیرطبیعی ← Walking pneumonia
WBC نرمال + CRP بالا ← به نفع Mycoplasma
عدم پاسخ به بتالاکتام ← Mycoplasma
آسم + سرفه مقاوم ← به Mycoplasma فکر کن
پاورقی واژگان (Glossary)
Atypical pneumonia: پنومونی با سیر تدریجی و علائم غیرکلاسیک
Walking pneumonia: پنومونی با علائم خفیف بالینی
Maculopapular rash: راش پوستی لکهای–برجسته
Bullous myringitis: التهاب تاولی پرده گوش
Colonization: حضور مزمن بدون حذف کامل ارگانیسم
تظاهرات خارجریوی (Extrapulmonary Disease)
با وجود اینکه جداسازی Mycoplasma pneumoniae از بافتهای غیرتنفسی بهطور کلاسیک نادر گزارش شده است، افزایش حساسیت PCR برای شناسایی DNA این باکتری باعث شده حضور آن بهویژه در سیستم عصبی مرکزی (CNS) بیشتر شناسایی شود.
بیماران با یا بدون علائم تنفسی ممکن است درگیری ارگانهای زیر را داشته باشند:
پوست
CNS
خون
قلب
دستگاه گوارش
مفاصل
تظاهرات خارجریوی در حدود ۱۱ تا ۲۶٪ کودکان مبتلا به عفونت Mycoplasma pneumoniae گزارش شدهاند.
1. درگیری سیستم عصبی مرکزی (CNS disease)
شیوع:
۰٫۱٪ از کل بیماران
۷٪ از بیماران بستریشده
تظاهرات نورولوژیک
انسفالیت
ADEM (انسفالومیلیت منتشر حاد)
میلیت عرضی
آتاکسی مخچهای
مننژیت آسپتیک
سندرم گیلنباره
فلج بل
نوروپاتی محیطی
زمان بروز
۳ تا ۲۳ روز پس از شروع علائم تنفسی
(میانگین ≈ ۱۰ روز)در تا ۲۰٪ موارد:
هیچ علامت تنفسی قبلی وجود ندارد
دو الگوی پاتوفیزیولوژیک مهم (نکته بسیار مهم بورد)
الگوی اول: تهاجم مستقیم (Invasion)
علائم تنفسی:
absent یا بسیار خفیف
کمتر از ۷ روز
IgM:
منفی یا غیرواکنشی
PCR:
CSF مثبت
دستگاه تنفسی منفی
مکانیسم:
تهاجم مستقیم باکتری به CNS
الگوی دوم: ایمنیواسطه (Immune-mediated)
علائم تنفسی:
معمولاً سرفه
≥۷ روز
IgM:
مثبت در فاز حاد
PCR:
دستگاه تنفسی مثبت
CSF معمولاً منفی
مکانیسم:
پاسخ خودایمنی علیه Mycoplasma
جمعبندی بوردی
انسفالیت ≤۷ روز از شروع علائم → بیشتر تهاجم مستقیم
انسفالیت >۷ روز → بیشتر autoimmune
نکات بالینی مهم CNS
درگیری ساقه مغز:
میتواند منجر به دیستونی شدید و اختلالات حرکتی شود
CSF:
ممکن است طبیعی باشد
یا:
پلئوسیتوز خفیف مونونوکلئر
↑ پروتئین
گلوکز طبیعی
تشخیص با:
PCR مثبت در CSF
PCR مثبت از سواب حلق
یا سروکانورژن
MRI مغز
تغییرات ایسکمیک فوکال
ونترکولومگالی
ادم منتشر
ضایعات التهابی چندکانونی ماده سفید (سازگار با ADEM پسعفونی)
عوارض طولانیمدت:
در ۲۳ تا ۶۴٪ موارد گزارش شدهاند
2. درگیری مخاطی–پوستی (Mucocutaneous disease)
تا ۲۵٪ کودکان مبتلا
تظاهرات شایع:
راش ماکولوپاپولر
کهیر
MIRM
(Mycoplasma-Induced Rash and Mucositis)Stevens–Johnson syndrome (SJS)
سایر تظاهرات پوستی
Gianotti-Crosti syndrome
Erythema nodosum
- مورد جالب
حدود ۱۰٪ کودکان مبتلا به CAP ناشی از Mycoplasma:
راش ماکولوپاپولر دارند
MIRM Mycoplasma-induced rash and mucositis syndrome (MIRM)
زمان بروز:
۳ تا ۲۱ روز پس از علائم تنفسی
مدت:
معمولاً کمتر از ۱۴ روز
عوارض شدید:
نادر
نکته مهم:
ممکن است موکوزیت دهانی ایزوله بدون راش پوستی ایجاد شود
- مطالعه بیشتر

3. اختلالات هماتولوژیک (Hematologic abnormalities)
شایعتر:
همولیز خفیف
Coombs test مثبت
رتیکولوسیتوز خفیف
زمان بروز: ۲–۳ هفته پس از شروع بیماری
نادر ولی مهم:
همولیز شدید
همراه با cold agglutinins بالا (≥1:512)
ترومبوسیتوپنی
آنمی آپلاستیک
Hemophagocytic syndrome
اختلالات انعقادی
نکات طلایی بورد اطفال (Board Pearls)
CNS + Mycoplasma بدون علائم تنفسی ←به تهاجم مستقیم فکر کن
CNS بعد از ۷ روز سرفه← immune-mediated
CSF طبیعی، MRI غیرطبیعی ← Mycoplasma را رد نکن
SJS یا MIRM در کودک با سرفه خفیف ← Mycoplasma
همولیز + Coombs مثبت + cold agglutinins ← Mycoplasma
پاورقی واژگان (Glossary)
ADEM: Acute Disseminated Encephalomyelitis
MIRM: Mycoplasma-Induced Rash and Mucositis
Cold agglutinins: آنتیبادیهای IgM وابسته به سرما
Pleocytosis: افزایش سلول در CSF
Seroconversion: تبدیل سرولوژی منفی به مثبت
الگوریتم تشخیص و درمان نورولوژیک Mycoplasma pneumoniae
مرحله 1: شک بالینی (When to suspect)
کودک یا نوجوان با یکی از موارد زیر:
انسفالیت / کاهش سطح هوشیاری
تشنج بدون علت مشخص
آتاکسی حاد، دیستونی، اختلالات حرکتی
میلیت عرضی یا ضعف پیشرونده
گیلنباره، فلج بل
ADEM
علائم نورولوژیک با یا بدون علائم تنفسی
نکته کلیدی: عدم وجود سرفه یا پنومونی، Mycoplasma را رد نمیکند.
مرحله 2: شرح حال هدفمند (Key history)
وجود علائم تنفسی؟
سرفه، گلودرد، تب، پنومونی خفیف
فاصله زمانی نورولوژیک از علائم تنفسی:
<7 روز
≥7 روز
مصرف اخیر آنتیبیوتیک
تماس خانوادگی با عفونت تنفسی
سابقه بیماری خودایمنی یا نقص ایمنی
مرحله 3: معاینه بالینی
سطح هوشیاری (GCS)
علائم فوکال نورولوژیک
مننژیسم
درگیری ساقه مغز (دیستونی، اختلال بلع، حرکات غیرطبیعی)
بررسی پوست و مخاط (MIRM / SJS)
مرحله 4: آزمایشها و پاراکلینیک اولیه
آزمایشهای پایه
CBC (معمولاً طبیعی)
ESR / CRP (اغلب ↑)
الکترولیتها، LFT
تستهای ویروسی همزمان در صورت نیاز
بررسی مایع مغزی نخاعی (CSF)
| یافته | تفسیر |
|---|---|
| CSF طبیعی | شایع، ردکننده نیست |
| پلئوسیتوز خفیف مونونوکلئر | شایع |
| پروتئین ↑ | ممکن |
| گلوکز طبیعی | معمول |
CSF PCR برای Mycoplasma (در صورت دسترسی)






